세종충남대병원, '폐엽 절제술과 무펌프 관상동맥 우회술' 동시 수술 성공
세종충남대병원, '폐엽 절제술과 무펌프 관상동맥 우회술' 동시 수술 성공
  • 이성현 기자
  • 승인 2020.09.08 10:45
  • 댓글 0
이 기사를 공유합니다

기저 질환 있는 고령의 폐암 환자도 수술적 완치 기대
수술적 완성도 및 관련 분과 협진 성과

세종충남대학교병원(원장 나용길)은 무펌프 관상동맥 우회술과 폐엽 절제술의 동시 수술에 성공했다고 8일 밝혔다.

(왼쪽부터) 흉부외과 조현진 교수(흉부종양)와 한우식 교수(심장혈관)
(왼쪽부터) 흉부외과 조현진 교수(흉부종양)와 한우식 교수(심장혈관)

관련 분과의 유기적인 협진과 중환자 관리 프로세스 구축을 통한 성과로 평가되고 있다.

천식 병력을 가진 A씨(79)는 지난 7월 중순 대전 충남대학교병원에서 초기 폐암 진단을 받았다.

세종시에 거주하다 보니 수술을 위해 지난 8월 10일 세종충남대병원에 내원했고 이튿날 수술 전 시행한 검사에서 심혈관의 삼중 혈관 질환이 발견됐다.

삼중 혈관 질환은 스텐트 시술이 어렵고 시술이 이뤄지더라도 이중항혈소판제재를 복용해야 하는 기간 탓에 폐암 수술이 6주 정도 지연돼 폐암의 진행 가능성이 크다.

또 다른 문제는 삼중 혈관 질환에 대한 치료 없이 폐암 수술을 할 경우 수술 중이나 수술 이후 심근경색의 위험도가 높아 심혈관 질환에 대한 치료가 선행돼야 한다.

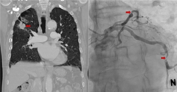
왼쪽/ 우상엽 폐암의 CT소견 (화살표), 오른쪽/ 관상 동맥 협착 (화살표)
왼쪽/ 우상엽 폐암의 CT소견 (화살표), 오른쪽/ 관상 동맥 협착 (화살표)

세종충남대병원 흉부외과 조현진 교수(흉부종양)와 한우식 교수(심장혈관)는 8월 14일 관련 분과의 협진을 통해 무펌프 관상동맥 우회술에 이은 폐엽 절제술 및 종격동 림프절 절제술을 동시에 진행했다.

특히 심장 수술 시에 접근하는 정중흉골절개창 외 추가적인 수술 상처 없이 성공적으로 수술을 마쳤다.

A씨는 천식 병력 탓에 수술 직후 천식 증상이 나타났지만 중환자실과 호흡기내과 의료진의 협진을 통해 특별한 합병증 없이 수술 8일 만에 퇴원했다.

초기 폐암은 폐엽 절제술이나 종격동 림프절 절제술 등 수술적 치료가 효과적이지만 환자가 고령일 경우 다른 동반된 질환으로 수술적 치료가 이뤄지지 못하는 경우가 허다하다.

더욱이 심혈관 질환이 동반된 경우 암 수술 치료가 지연되거나 최선의 수술적 치료가 이뤄지지 못하는 상황이 가장 큰 문제가 되는 부분이다.

조현진 교수는 “A씨 같은 환자의 경우 무펌프 관상동맥 우회술과 폐암의 동시 수술이 최선의 선택이 될 수 있지만, 고난이도의 수술인 만큼 서울 등지의 대형병원에서도 쉽게 이뤄지지 않는다”며 “세종충남대병원의 수술적인 완성도 측면과 중환자 관리 프로세스 구축, 관련 분과의 협진 등이 성과를 거둔 것으로 평가할 수 있다”고 말했다.

기사가 마음에 드셨나요?

충청뉴스 좋은 기사 후원하기


※ 소중한 후원금은 더 좋은 기사를 만드는데 쓰겠습니다.


댓글삭제
삭제한 댓글은 다시 복구할 수 없습니다.
그래도 삭제하시겠습니까?
댓글 0
댓글쓰기
계정을 선택하시면 로그인·계정인증을 통해
댓글을 남기실 수 있습니다.