건양대병원 김광균 교수, 선천성 무릎탈구수술 성공
건양대병원 김광균 교수, 선천성 무릎탈구수술 성공
  • 김거수 기자
  • 승인 2019.10.01 10:27
  • 댓글 0
이 기사를 공유합니다

환자, 아침마다 정상으로 돌아온 다리 확인
“의학의 발달로 치료 가능해진 부분 많아 포기 금물”
“다시는 걸을 수 없는 한이 있어도 저는 교수님을 믿고 수술받겠습니다”

건양대병원(의료원장 최원준) 정형외과 김광균 교수가 수도권 대형병원에서도 수술하기를 꺼려한 환자의 아픔을 외면하지 않고 끝까지 노력해 수술에 성공했다고 1일 밝혔다.

건양대병원 정형외과 김광균 교수
건양대병원 정형외과 김광균 교수

충남 당진에 사는 박영순(가명·62세, 여)씨는 선천적으로 무릎뼈(슬개골)가 정상위치를 벗어나 바깥으로 완전히 탈구된 상태로 지내왔다. 10살 때부터는 제대로 걸을 수 없게 되었고, 성인이 되어 수도권 대형병원을 비롯해 전국의 병원을 다니며 치료 가능성에 대해 확인했지만 늘 돌아오는 답변은 ‘치료가 어렵다’는 것이었다.

설상가상으로 수년 전 낙상으로 인한 대퇴골 골절상까지 입어 수술을 받았지만 아랫다리가 뒤틀리는 변형이 생겼고, 박씨를 본 의사들로부터 절뚝거리나마 걷고 있다는 사실이 더 신기하다는 말을 듣기도 했다.

치료를 포기한 채 지내던 박 씨는 퇴행성관절염이 진행되면서 극심한 통증까지 시달리게 됐다.

그러던 어느 날 건양대병원 김광균 교수가 지난 2016년 70대 여성의 선천성 무릎탈구수술을 성공적으로 시행했다는 소식을 우연히 접한 후 김 교수를 찾았다.

박 씨의 검사 결과를 본 김광균 교수는 깊은 고민에 빠졌다. 선천성 무릎탈구는 전 세계적으로도 희귀한 질환인데다가 대퇴골 골절과 함께 심한 퇴행성 변화가 생긴 터라 수술 결과를 낙관하기 어려웠기 때문이었다.

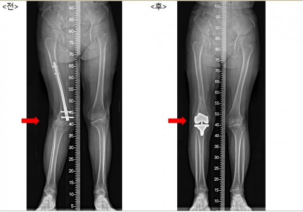
수술 전, 후 모습
수술 전, 후 모습

하지만 환자의 간곡한 부탁과 치료에 대한 의지에 힘입어 수술을 결심했다.

김 교수는 퇴행성 변화가 나타난 관절을 절제하여 인공관절로 대체하고, 탈구된 무릎뼈를 제자리에 위치시키는 수술을 시행했다.

수술은 대성공을 거두었고, 이후 박 씨는 정상인과 가깝게 걸을 수 있게 되자 매우 큰 만족감을 드러냈다.

박영순씨는 “아침에 눈을 뜨자마자 가장 먼저 하는 일은 내 다리가 또 뒤틀려있지는 않은지 확인할 정도로 꿈만 같다”며, “수술을 결심했을 때 주변 사람들과 가족의 만류가 컸지만, 교수님을 믿고 치료를 성공적으로 받아 너무 기쁘다”며 감사의 눈물을 흘렸다.

김광균 교수는 “우리 주변에는 각종 질환으로 인해 치료를 포기한 채 살아가는 환자들이 많이 있다”며, “수술기법과 장비 등의 발전으로 과거에는 치료가 어려웠던 질환이 현재는 치료가 가능한 부분이 많으므로, 끝까지 포기하지 말고 적극적으로 치료를 받으시길 바란다”고 말했다.

기사가 마음에 드셨나요?

충청뉴스 좋은 기사 후원하기


※ 소중한 후원금은 더 좋은 기사를 만드는데 쓰겠습니다.


댓글삭제
삭제한 댓글은 다시 복구할 수 없습니다.
그래도 삭제하시겠습니까?
댓글 0
댓글쓰기
계정을 선택하시면 로그인·계정인증을 통해
댓글을 남기실 수 있습니다.