극심한 어깨통증 유발하는 '석회화건염'
극심한 어깨통증 유발하는 '석회화건염'
  • 송연순 기자
  • 승인 2017.06.12 16:29
  • 댓글 0
이 기사를 공유합니다

주사‧체외충격파 치료...심할땐 관절내시경 수술

어깨통증은 흔하게 발생하는 통증이라는 점에서 대수롭지 않은 것으로 넘길 수 있다. 하지만 어깨통증이 단순 통증이 아니라 치료가 필요한 질환이 원인일 수 있어 전문의의 조기 진단이 필요하다.

특히 석회화건염은 오십견과 회전근개파열, 어깨충돌증후군 등과 함께 대표적인 어깨질환으로 꼽힌다. 대전 조인정형외과 변기용 원장의 도움으로 석회화건염에 대해 알아본다.

변기용 원장

석회화건염은 어깨의 건(힘줄)부분에 석회질이 쌓이는 것이다. 평소에 별 다른 징후가 없다가 갑자기 어깨가 아프다면 석회화건염을 의심해 볼 수 있다.

이 질환의 정확한 발병 원인은 아직까지 정확히 밝혀지지는 않았지만, 노화에 따른 어깨 힘줄의 퇴행 등이 원인으로 알려져 있다. 다른 어깨질환들과는 다르게 처음 석화가 생성되는 시기에는 어깨가 뻐근할 뿐 통증이 거의 나타나지 않는다. 하지만 점차 석회가 커지면서 통증도 심해지고 팔의 움직임이 제한되는 게 특징이다. 이를 방치할 경우 자칫 만성통증이 되어 잘 낫지 않거나 심할 경우 힘줄이 파열될 수 있다.

또한 석회화건염은 오십견과 회전근개파열 등의 어깨질환처럼 밤에 통증이 더 심해지는 ‘야간통’ 때문에 잠을 설치는 경우도 많다. 때로는 잠을 전혀 이루지 못할 정도로 통증이 극심해 ‘화학적 종기’라고도 불린다.

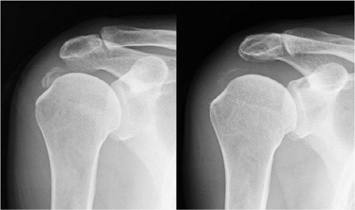
석회화건염 환자에 대한 체외충격파 시술 전(좌측)과 후 사진.. 딱딱한 석회가 수차례 체외충력파 시술후 완전히 분쇄돼 깨끗한 모습(우측)을 보이고 있다.

석회화건염 치료는 비수술 치료와 수술 치료로 나뉘는데, 비수술 치료로는 주사치료와 체외충격파를 들 수 있다. 주사치료는 강력한 소염제인 스테로이드 약물을 석회 병변에 주사해 석회를 녹여 흡수시키는 치료법이다. 체외충격파는 석회 침착물에 충격파를 이용해 외부에서 충격을 가해 내부의 석회를 잘게 분쇄시키는 치료다. 환자가 느끼는 통증이 비교적 덜하고, 대략 5-10분이면 치료가 끝나나 수차례 반복을 해야 한다.

비수술 치료를 꾸준히 받았음에도 불구하고 별 효과가 없다면 관절내시경을 이용해 석회를 직접 제거하게 된다. 이 치료는 절개 범위가 5mm미만으로 작은 만큼 회복기간 또한 짧아 일상생활로의 복귀가 빠르다는 장점이 있다.

대전 조인정형외과 변기용 원장은 “석회화건염을 예방하기 위해서는 어깨를 과도하게 사용하는 것을 피하고, 운동 전에는 충분한 스트레칭이 필요하다”며 “혈액 순환에 도움이 되는 사우나나 원적외선 램프를 이용해 꾸준히 관리하는 습관을 갖는 것도 중요하다”고 조언했다.

기사가 마음에 드셨나요?

충청뉴스 좋은 기사 후원하기


※ 소중한 후원금은 더 좋은 기사를 만드는데 쓰겠습니다.


댓글삭제
삭제한 댓글은 다시 복구할 수 없습니다.
그래도 삭제하시겠습니까?
댓글 0
댓글쓰기
계정을 선택하시면 로그인·계정인증을 통해
댓글을 남기실 수 있습니다.