29일까지 꽃가루 발아율 검정 서비스 실시
[충청뉴스 최형순 기자] 충남 당진시농업기술센터(소장 이재중)가 명품 과일 생산을 위해 이번 달 29일까지 꽃가루 발아율 검정 서비스를 실시한다고 15일 밝혔다.
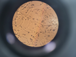
지난 7일부터 시작된 본 서비스는 최근 수분수 및 매개곤충 부족 등으로 인공수정 면적이 증가하는 추세를 보임에 따라 센터가 나서 수입 불량 꽃가루를 사전에 차단, 고품질 과일을 생산할 수 있도록 과수 농가를 지원한다.
또 지난해 채취해 사용하고 남은 꽃가루에 대해서도 발아율을 분석해 농가의 꽃가루 구입비를 절감시킬 뿐만 아니라 꽃가루 활력화 정도에 따라 인공수분용 사용가능성을 분석해 주고 있어 과수 농가의 큰 호응을 얻고 있다.
꽃가루 발아율 검정을 받기 위해서는 보관중인 꽃가루 샘플을 기술보급과 과수특작팀(☎041-360-6380~1)에 전달하면 되며, 샘플 제출 후 48시간 내에 분석 결과를 받아볼 수 있다.
이연숙 과수특장팀장은 “과수의 꽃이 피는 시기에 이상기후 발생으로 정상적인 과실 수정에 어려움이 많다”며 “우량 꽃가루를 활용해 적기에 인공수분을 실시하는 등 적극적으로 대처해야 한다”고 당부했다.
저작권자 © 충청뉴스 무단전재 및 재배포 금지

